Студент лови момент!
С 23-30 января всем студентам и Татьянам лечение кариеса + постановка пломбы со скидкой 10%
С 23-30 января всем студентам и Татьянам лечение кариеса + постановка пломбы со скидкой 10%
В стоматологической клинике Смайл Сити на Войковской мы предлагаем профессиональную чистку зубов, которая поможет вам не только сохранить здоровье полости рта, но и ощутить невероятное чувство свежести и комфорта.
Почему выбирают нас?
Мы используем современное оборудование и инновационные методы, включая ультразвуковое удаление зубного камня, что гарантирует высокую эффективность и безопасность процедуры. Ультразвук бережно удаляет налет и камень, не повреждая эмаль зубов.
Стоматология Смайл Сити предлагает уникальную процедуру Air Flow — чистка зубов с использованием специального абразивного порошка и струи воздуха. Этот метод обеспечивает идеальную чистоту зубов и удаляет даже самые стойкие пятна с труднодоступных местах, придавая вашей улыбке безупречный вид.
Этапы чистки зубов:
Мы понимаем, как важна профилактика для здоровья зубов, поэтому мы предлагаем комплексные услуги по профессиональной гигиене полости рта. Регулярные чистки помогут избежать серьезных проблем в будущем и сохранить ваши зубы здоровыми.
Профессиональная гигиена полости рта: цена и доступность
Мы уверены, что здоровье зубов должно быть доступным каждому. Поэтому цены на наши услуги в стоматологии Смайл Сити остаются на приемлемом уровне, а качество — на высшем. Запишитесь на чистку зубов прямо сейчас и узнайте о специальных предложениях!
Не упустите возможность подарить себе здоровую и красивую улыбку! Позвоните по телефону или оставьте заявку на нашем сайте, чтобы получить бесплатную консультацию и записаться на профессиональную чистку зубов на Войковской.
Стоматология Смайл Сити на Войковской — Ваш надежный партнер в заботе о здоровье зубов и красивой улыбке! Ваша улыбка в надежных руках!
Мечтаете о белоснежной улыбке без вреда для эмали? «Смайл Сити» на Войковской предлагает профессиональную ультразвуковую чистку зубов – современный и безопасный способ вернуть вашим зубам естественную красоту и здоровье.
Почему ультразвуковая чистка – ваш лучший выбор?
Ультразвуковая чистка – это деликатное и эффективное удаление зубного камня и налета, который является основной причиной неприятного запаха изо рта, кровоточивости десен и развития кариеса.
• Доступная цена: «Смайл Сити» предлагает выгодные цены на ультразвуковую чистку зубов в Москве. Узнайте стоимость прямо сейчас!
Стоматология «Смайл Сити» на Войковской: эксперты в профессиональной гигиене полости рта.
Наши опытные стоматологи используют современное оборудование и передовые технологии, чтобы обеспечить вам безупречный результат. Мы предлагаем комплексный подход к гигиене полости рта, включающий следующие этапы:
Не откладывайте здоровье своей улыбки на потом!
Запишитесь на ультразвуковую чистку зубов в «Смайл Сити» на Войковской уже сегодня и почувствуйте разницу! Свяжитесь с нами по телефону или оставьте заявку на сайте, чтобы выбрать удобное время для посещения.
Стоматологическая клиника «Смайл Сити»: Ваша улыбка – наша забота!
Каждый из нас понимает, как важна здоровая и красивая улыбка. Однако отсутствие зубов может стать причиной неуверенности в себе и серьезных проблем со здоровьем. В стоматологической клинике «Смайл Сити» на Войковской, мы предлагаем высококачественные решения для восстановлении вашей улыбки — съемное протезирование зубов.
Почему стоит выбрать съемное протезирование?
Съемное протезирование зубов — это надежный и эффективный способ восстановления утраченных зубов без хирургического вмешательства. Оно идеально подходит для пациентов, которые хотят быстро и комфортно решить проблему отсутствия зубов, особенно жевательных.
Преимущества съемного протезирования:
▪ Доступная цена: Мы предлагаем конкурентоспособные расценки на съемное протезирование жевательных зубов. Узнайте стоимость у наших специалистов и выберите оптимальное решение для себя.
▪ Быстрая адаптация: Съемные протезы создаются с учетом индивидуальных особенностей вашего рта, что обеспечивает максимальный комфорт и быстроту адаптации.
▪ Эстетика: Наши протезы выглядят естественно, что позволяет вам не стесняться своей улыбки.
▪ Область применения: Съемное протезирование эффективно как для фронтальных, так и жевательных зубов, что делает его универсальным решением.
Съемное протезирование на Войковской
Специалисты клиники «Смайл Сити» в Москве, недалеко от метро Войковская, имеют большой опыт в области съемного протезирования. Мы используем только современные материалы и технологии, что обеспечивает долговечность и эстетичность наших протезов.
Этапы съёмного протезирования:
Консультация: На первичной консультации наш врач стоматолог-ортопед проведет полное обследование и предложит наиболее подходящие варианты съемного протезирования, исходя из ваших потребностей и бюджета..
Индивидуальный подход: Мы понимаем, что каждое заболевание индивидуально, поэтому с вами будет работать команда профессионалов для достижения лучшего результата.
Создание протеза: После обсуждения всех деталей и выбора протеза, мы изготовим его на современном оборудовании.
Установка: Установка протезов происходит быстро и безболезненно. В некоторых случаях для адаптации к съёмному протезу потребуется немного времени и посещения врача стоматолога- ортопеда для контроля и коррекции.
Съемное протезирование зубов: стоимость
Мы обеспечиваем прозрачные цены и отсутствие скрытых платежей. Узнать о стоимости съемного протезирования зубов в «Смайл Сити» можно, позвонив по телефону или записавшись на консультацию. Также на нашем сайте вы можете ознакомиться с актуальными предложениями и акциями. В клинике также можно оформить рассрочку.Важно понимать, что протезирование зубов – это инвестиция в ваше здоровье и качество жизни.
Как нас найти
Мы находимся в Москве, рядом с метро Войковская, что делает наши услуги доступными для жителей районов: Петровско-Разумовская, Октябрьское Поле, а также тех, кто использует МЦК Коптево и живет в окрестностях Большой Академической улицы.
Не откладывайте заботу о своей улыбке на потом! Запишитесь на консультацию в стоматологическую клинику «Смайл Сити» уже сегодня и узнайте, как съемное протезирование зубов может изменить вашу жизнь к лучшему!
Ваши идеальные зубы — это наша забота!
Если вы столкнулись с потерей нескольких зубов и ищете надежное решение, мы рады предложить вам частичное протезирование зубов в стоматологической клинике «Смайл Сити» на Войковской. Мы понимаем, как важно для вас иметь красивую и здоровую улыбку, и готовы помочь вернуть уверенность в себе!
Почему выбирают частичное протезирование?
Частичное протезирование — это эффективный способ восстановить функцию и эстетику зубного ряда при отсутствии одного или нескольких зубов. Этот метод позволяет не только восстановить жевательную функцию, но и предотвратить смещение соседних зубов.
Преимущества частичного протезирования в «Смайл Сити»:
▪ Индивидуальный подход: Наши опытные специалисты подбирают протезы с учетом ваших анатомических особенностей и пожеланий.
▪ Современные материалы: Мы используем высококачественные материалы, такие как диоксид циркония, который обеспечивает прочность и эстетичный внешний вид протезов.
▪ Доступные цены: У нас вы сможете узнать цену частичного протезирования жевательных зубов и стоимость лечения, соответствующую вашему бюджету.
Виды частичных протезов
Мы предлагаем различные варианты частичных протезов, чтобы удовлетворить ваши потребности:
Съемные протезы: Удобные и простые в использовании, которые легко снимаются для гигиенических процедур.
Несъемные протезы: Обеспечивают максимальную стабильность и естественный вид зубного ряда, продолжительный срок службы.
Частичное протезирование зубов — цена и стоимость услуг.
В «Смайл Сити» на Войковской мы стремимся предоставить лучшие решения по частичному протезированию в Москве по доступным ценам. Стоимость зависит от типа протеза, используемых материалов и сложности процедуры. Чтобы узнать подробнее, рекомендуем записаться на консультацию к врачу стоматологу- ортопеду, который проведет осмотр и составит индивидуальный план лечения.
Почему пациенты выбирают «Смайл Сити»?
Профессионализм: Высококвалифицированные стоматологи с большим опытом работы в области протезирования.
Комфорт для пациентов: Мы создаем все условия для вашего удобства и спокойствия во время процедур.
Современное оборудование: Используем новейшие технологии для достижения исключительного результата.
Мы находимся в Москве в районе между метро «Войковская», «Петровско-Разумовская» и «Октябрьское Поле», МЦК Коптево, на Большой Академической улице. Не упустите возможность вернуть себе здоровую и красивую улыбку в стоматологии «Смайл Сити»!
Жевательные зубы играют ключевую роль в процессе пережевывания пищи. Их потеря может привести к проблемам с пищеварением и дискомфорту. Частичное протезирование жевательных зубов – это не только эстетическое решение, но и важный шаг для поддержания здоровья всего организма.
Запишитесь на консультацию в «Смайл Сити» и узнайте, как частичное протезирование зубов может изменить вашу жизнь к лучшему. Мы готовы помочь вам уже сегодня!
Вы живете в Москве, в районе Войковской, Коптево, Петровско-Разумовской или Октябрьского Поля и столкнулись с проблемой отсутствия жевательных зубов? В стоматологической клинике «Смайл Сити» мы понимаем, насколько это влияет на качество вашей жизни. Потеря жевательных зубов – это не только эстетический дискомфорт, но и серьезные последствия для здоровья: нарушение пищеварения, изменение прикуса, а также повышенная нагрузка на оставшиеся зубы.
Мы предлагаем различные виды протезирования жевательных зубов:
➢ Протезирование жевательных зубов циркониевыми коронками: Этот современный материал отличается высокой прочностью, долговечностью и эстетичным внешним видом. Коронки и мосты из диоксида циркония идеально имитируют естественные зубы и не вызывают аллергических реакций.
➢ Металлокерамические коронки и мосты: Классическое и проверенное временем решение для восстановления жевательных зубов.
➢ Съемные протезы: Бюджетный вариант для восстановления жевательной функции при отсутствии нескольких зубов.
➢ Протезирование жевательных зубов с опорой на импланты: Мы предлагаем одно из самых современных и надежных решений — протезирование жевательных зубов с опорой на импланты. Эта методика позволяет вам восстановить жевательные функции, а также достичь максимального комфорта и естественного внешнего вида. Импланты обеспечивают надежную опору для протезов, что гарантирует долговечность и стабильность установки.
Почему стоит выбрать протезирование на имплантах?
o Надежность: Импланты интегрируются с костной тканью, что обеспечивает прочную и долговечную фиксацию.
o Естественный вид: Качественно выполненные протезы выглядят как натуральные зубы.
o Комфорт: Забудьте о дискомфорте и ограничениях в питании — вы сможете наслаждаться любимыми блюдами без страха!
Протезирование жевательных зубов в «Смайл Сити» — это:
❖ Индивидуальный подход к каждому пациенту.
❖ Использование современных технологий и качественных материалов.
❖ Высококвалифицированные врачи-ортопеды с большим опытом работы.
❖ Гарантия качества на все виды протезирования.
Узнайте цену протезирования жевательных зубов и стоимость необходимого вам лечения, записавшись на бесплатную консультацию в «Смайл Сити» на Войковской. Верните себе радость жизни и уверенную улыбку!

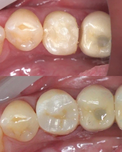
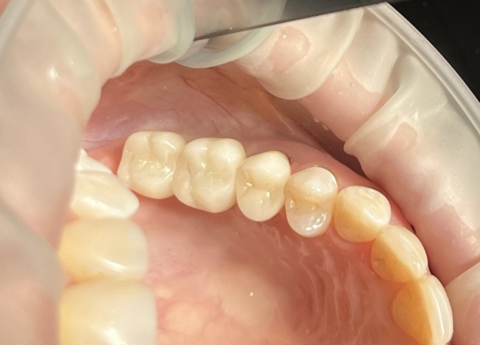
Работа Молокова К.Э.: восстановление под коронку 4.5 зуба / протезирование 4.5 зуба циркониевой коронкой
. 



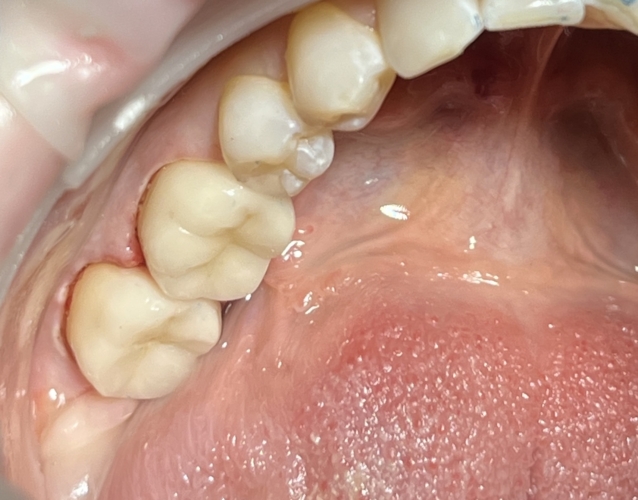
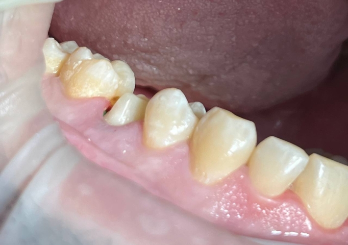
Протезирование жевательных Зубов. Коронки из циркония. Работа Станьковой К.А.
Стоматолог-имплантолог клиники «Смайл-сити» на Войковской проводит осмотр, оценивает клинический случай с целью подбора оптимального протокола операции. При наличии серьезных болезней, таких как диабет или аутоиммунные нарушения, может потребоваться лечение. Во избежание рисков нужно проконсультироваться с узкими специалистами: кардиологом, терапевтом, эндокринологом.
Именно состояние здоровья может значительно увеличить продолжительность подготовительного этапа перед процедурой имплантации зубов. Иногда для достижения нужных параметров требуется полгода и больше.
Если противопоказаний нет, проводится диагностика с использованием лучевых методов. Обычно делаются рентген (панорамный снимок) и компьютерная томография, чтобы определить объем и плотность костной ткани и увидеть скрытые патологии: корневые кисты и воспаления, остатки зубных корней.
На основании данных обследования:
При неудовлетворительном состоянии ротовой полости проводится санация полости рта: лечатся кариозные зубы, снимаются зубной налет и камень.
Подсадка кости требуется в основном при классической двухэтапной имплантации. Одним из показаний является именно дефицит костной ткани челюсти.
Необходимость остеопластики тем выше, чем дольше отсутствует зуб. Даже под протезом, будь то мост или съемник, костная ткань постепенно убывает, и ставить имплантат становится некуда. Даже если зуб потерян всего пару месяцев назад, кость уже проседает, оставшись без нагрузки, и требуется увеличение ее объема.
Остеопластика может быть отдельным этапом, но чаще всего она проводится непосредственно перед установкой имплантатов.
Процесс имплантации зуба проходит под местной анестезией либо седацией, если нужно вживить несколько имплантов (от 3-х штук). Один имплантовый корень вкручивается примерно за 20–30 минут.
Как проходит имплантация зубов поэтапно? Сегодня есть несколько протоколов имплантации зубов, от которых и зависят этапы установки и сроки:
Классическая двухэтапная имплантация используется в 95% случаев, так как наращивание кости требуется большинству пациентов. Это самый надежный, но довольно травматичный протокол, подразумевающий разрез и откидывание слизисто-десневого лоскута.
С помощью тонкого бора хирург клиники «Смайл-сити» наВойковской высверливает отверстие в точном соответствии с диаметром импланта, который туда вкручивается. Сверху ставится заглушка и накладываются швы. Швы снимают примерно через неделю, если рана зашивалась не саморассасывающимися нитями.
Одноэтапная имплантация подходит для восстановления однокоренных зубов: резцов и клыков. Жевательные премоляры и моляры по одноэтапному протоколу воссоздают редко. К тому же для реализации методики нужен достаточный объем кости. Остеопластика здесь не предусмотрена.
Имплантация в один этап отличается низкой травматичностью, так как титановый штифт вживляется через прокол в десне, разреза с обнажением кости не требуется. В день операции на имплантат фиксируется абатмент, к которому прикручивается коронка или мост. Протезирование может проводиться в тот же день, но чаще на 2-ой или 3-ий.
Одномоментная имплантация совмещает две операции: удаление больного зуба и установку импланта на его место. Это очень выгодный способ со всех точек зрения: экономии времени и финансов, эстетики. Одномоментная имплантация позволяет избежать лишней травматизации тканей при повторном формировании имплантового ложа.
Сокращаются сроки лечения, сохраняется естественная структура альвеолярного гребня и десны, а кость не успевает атрофироваться. Протезирование может быть как ранним, в день операции или в ближайшие 2–3 дня, так и отсроченным, спустя 3–4 месяца.
Этап установки формирователя десны при имплантации зубов предусмотрен только в классическом двухэтапном протоколе. При одноэтапных методиках его пропускают. Формирователь десны ставится по завершении периода остеоинтеграции, когда имплант срастается с костью.
Необходимость формирования десневого контура обусловлена не только эстетикой. Естественная валикообразная форма десны исполняет важнейшую роль в стабильности импланта, помогает ему крепко держаться в тканях.
Формирователь фиксируется через небольшой поверхностный разрез, позволяющий открыть верхнюю часть импланта и снять заглушку. Нижняя часть ввинчивается в штифт, а верхняя выступает над десной. Десна формируется в течение 2-х недель.
На этом первый этап имплантации зубов заканчивается и начинается второй ― протезирование.
Процесс изготовления занимает несколько дней, после чего проводится примерка конструкции и ее коррекция в случае необходимости. Протез винтовым способом крепится к абатменту, и лечение считается завершенным.
Протезирование на имплантах в стоматологической клинике «Смайл Сити»на Войковской — это современное решение для восстановления утраченных зубов, которое обеспечивает не только функциональность, но и эстетический вид.
Возникла необходимость восстановить утраченные зубы, чтобы ыло функционально и красиво? На консультации наши специалисты – врачи стоматологи хирурги и ортопеды помогут Вам выбрать оптимальное решение в зависимости от Ваших потребностей и бюджета.
Почему выбирают протезирование на имплантах?
Имплантация зубов — это надежный способ вернуть улыбку и уверенность в себе. Коронки, установленные на импланты, выглядят как натуральные зубы и могут служить долгие годы. В стоматологической клинике «Смайл Сити» на Войковской мы предлагаем широкий спектр услуг протезирования на имплантатах, включая установку коронок из оксида циркония, которые отличаются высокой прочностью и естественным внешним видом.
Преимущества стоматологической клиники «Смайл Сити»
Цены и стоимость услуг
Мы понимаем, что стоимость лечения является важным фактором для наших пациентов. В «Смайл Сити» мы предлагаем конкурентоспособные цены на протезирование на имплантах и другие стоматологические услуги. На консультации Вы сможете узнать подробности о стоимости лечения и возможных вариантах оплаты.
Если Вы ищете качественное протезирование на имплантатах в Москве, обращайтесь в стоматологическую клинику «Смайл Сити» на Войковской. Мы готовы помочь Вам вернуть улыбку и уверенность в себе!


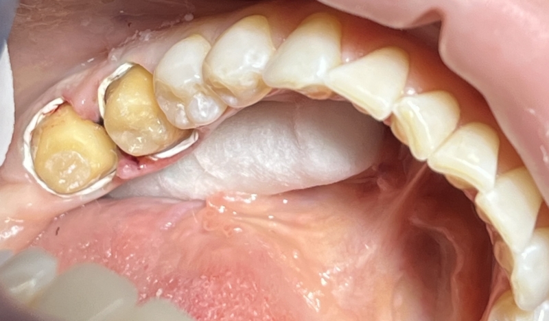
Протезирование на имплантах жевательных Зубов. Коронки из оксида циркония. Работа Станьковой К.А. ( сложный цвет)
В жизни могут возникать ситуации, когда передние зубы требуют восстановления. Будь то случайное повреждение или кариес, важно не только исправить ситуацию, но и сделать это качественно и надежно. В стоматологии «Смайл Сити» на Войковской мы предлагаем профессиональные услуги по восстановлению передних зубов с применением передовых технологий.
Пломба на зуб: что это?
Пломба на зуб — это один из самых распространенных способов реставрации зубов. Современные пломбы не только эффективно восстанавливают форму и функцию зуба, но и выглядят естественно, что особенно важно для передних зубов, которые на виду.
Восстановление переднего зуба: почему это важно?
Передние зубы играют ключевую роль в нашей улыбке. Их состояние отражает общее здоровье и уверенность человека. Именно поэтому восстановление передних зубов должно быть выполнено профессионально и качественно. В стоматологической клинике «Смайл Сити» на Войковской мы понимаем, как важна ваша улыбка, и гарантируем индивидуальный подход к каждому пациенту.
Преимущества реставрации зубов в «Смайл Сити»
Наша команда состоит из высококвалифицированных специалистов, имеющих богатый опыт работы в области стоматологии. Каждый врач регулярно проходит обучение, что позволяет быть в курсе современных технологий и методов лечения.
Мы используем только качественные и безопасные материалы, которые имеют все необходимые сертификаты. Это гарантирует долговечность и эстетичность восстановленных зубов.
В «Смайл Сити» мы придерживаемся принципа минимально инвазивного лечения. Наши специалисты стараются сохранить как можно больше вашей натуральной структуры зуба, что способствует лучшему результату и меньшему дискомфорту.
Использование микроскопов в процессе реставрации позволяет нашим врачам выполнять работу с максимальной точностью. Это особенно важно при постановки пломбы напередний зуб, где детали имеют значение.
Заключение
Если вы ищете надежную стоматологию для реставрации передних зубов в Москве, выбирайте «Смайл Сити» на Войковской. Мы гарантируем высокое качество услуг, индивидуальный подход и заботу о каждом пациенте. Обратитесь к нам для консультации и возвращайте свою улыбку с «Смайл Сити»!
Лчение дёсен лазером — это современный и эффективный метод, который позволяет решать множество стоматологических проблем с минимальным дискомфортом для пациента. В нашей стоматологической клинике «Смайл Сити», расположенной на Войковской в Москве, мы используем диодный лазер, который обеспечивает высокую точность и безопасность процедур.
Преимущества лазерного лечения дёсен:
Стоматологическая клиника «Смайл Сити» работает для Вас более 15 лет, и за это время мы помогли нашим пациентам сохранить и улучшить стоматологическое здоровье. Наши высококвалифицированные специалисты готовы предложить Вам индивидуальный подход и качественное лечение.
Если Вы ищете надежное и современное решение для лечения десен, запишитесь на консультацию в клинику «Смайл Сити». Мы гарантируем Вам индивидуальный подход и доступные цены на все виды стоматологических услуг.