Полное протезирование

Одна из самых недорогих и популярных ортопедических конструкций, применяющихся для реабилитации пациентов с адентией, – полный съемный протез, с помощью которого можно получить и приемлемую функциональность, и эстетику в стоматологии «СМАЙЛ СИТИ» на войковской в Коптево, Петровско-разумовская, Лихоборы, октябрьское поле.

Полное протезирование в Москве. Комплексное протезирование, этапы лечения, примеры и отзывы. Рассрочка и скидки. Стоматология Smile-City Войковская, Коптево, Петровско-разумовская, Лихоборы, октябрьское поле.

Данная ортопедическая конструкция полностью моделирует зубной ряд верхней или нижней челюсти. Базис полного съемного протеза имитирует часть мягких тканей полости рта и служит креплением для искусственного зубного ряда. Границы полного съемного протеза заканчиваются в месте, где десневые ткани соединяются со слизистой частью губ. В отличие от частичного, полный протез не имеет кламмеров (крючков для крепления протеза на натуральные зубы), поэтому фиксацию протеза обеспечивает базис, который покрывает небо. Вся конструкция не имеет металлических составляющих, именно поэтому среди специалистов такая система носит название «полный съемный пластиночный протез». Не следует путать съемный пластиночный протез, применяемый при полном отсутствии зубов, с условно-съемными протезами, которые также устанавливаются в случае адентии. Эти конструкции ставятся на импланты, а снять их может только врач, тогда как обычный пластиночный протез можно в любой момент извлечь самостоятельно для проведения его чистки или гигиены полости рта.

Какой полный зубной протез лучше?

Сегодня на рынке представлено достаточно много такого рода конструкций, поэтому вопрос, какие полные съемные зубные протезы лучше, достаточно резонный. В случае с данным типом ортопедической системы главным фактором, который определяет ее качество, был и остается материал изготовления. Особняком стоят конструкции на мини-имплантах, которые концептуально отличаются от других конструкций. О том, какие материалы для полных съемных протезов применяются чаще всего, мы расскажем далее.

Полный съемный протез на имплантах Это лучшие полные съемные зубные протезы, которые устанавливаются после вживления имплантов. Фиксация также возможна и на мини-импланты. Они устанавливаются не в кость (как классические), а в мягкие ткани. Мини-имплантация позволяет добиться оптимального распределения нагрузки и самой надежной фиксации среди всех видов съемных протезов.

Полное протезирование в Москве. Комплексное протезирование, этапы лечения, примеры и отзывы. Рассрочка и скидки. Стоматология Smile-City Войковская, Коптево, Петровско-разумовская, Лихоборы, октябрьское поле.

 

Полное протезирование в Москве. Комплексное протезирование, этапы лечения, примеры и отзывы. Рассрочка и скидки. Стоматология Smile-City Войковская, Коптево, Петровско-разумовская, Лихоборы, октябрьское поле.

Самые доступные, но в то же время наименее качественные полные протезы, которые изготавливаются из акриловых пластмасс.

Более эластичный и удобный протез, который превосходит пластмассовые конструкции по эстетике и комфорту, однако хуже распределяет жевательную нагрузку (относится не ко всем моделям). Лучший съемный протез при полном отсутствии зубов в своем классе. Протез Акри Фри является гипоаллергенным и комфортным в ношении, однако имеет достаточную жесткость для качественного восстановления жевательной функции.

 

Полное протезирование в Москве. Комплексное протезирование, этапы лечения, примеры и отзывы. Рассрочка и скидки. Стоматология Smile-City Войковская, Коптево, Петровско-разумовская, Лихоборы, октябрьское поле.

Полный верхний и нижний протез – в чем их отличия? Как уже было сказано, фиксация полных съемных протезов имеет свои особенности. Так как у пациента отсутствуют натуральные зубы, для крепления протеза используются небо и мягкие ткани. Полный съемный протез на верхнюю челюсть размещается на альвеолярных отростках, а специальные присоски на искусственном небе делают фиксацию более прочной. Что касается нижней челюсти, то здесь в креплении участвуют только альвеолярные отростки (так называемый полный съемный протез без неба), поэтому конструкция на нижней челюсти является менее устойчивой. Именно поэтому оптимальным вариантом считается мини-имплантация (если нельзя провести классическую). Если же на одной из челюстей сохранилось несколько натуральных зубов, то более надежную фиксацию обеспечивают кламмеры или аттачмены, однако в этом случае протез будет уже частичным, а не полным. Не следует забывать, что частичные и полные съемные протезы имеют разный принцип крепления, поэтому последние в любом случае будут проигрывать по стабильности и устойчивости.

Изготовление полного съемного протеза

Изготовление полного съемного пластиночного протеза проходит достаточно быстро. Сама конструкция не имеет сложных элементов, а пациенту не требуется подготовительный период (за исключением установки протеза с опорой на импланты). Современные методики изготовления полных съемных протезов подразумевают получение готовой конструкции через 10 – 14 дней после первичного обращения в клинику.

Полное протезирование в Москве. Комплексное протезирование, этапы лечения, примеры и отзывы. Рассрочка и скидки. Стоматология Smile-City Войковская, Коптево, Петровско-разумовская, Лихоборы, октябрьское поле.

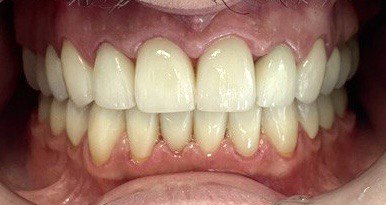
Работа врача стоматолога-ортопеда Каграманова А.С.

   

До/после. Работа врача стоматолога-ортопеда Станьковой К.А.

 

Этапы изготовления полного съемного протеза:

Первичная консультация. Снимок челюсти и выбор протеза.

Снятие слепков.

Отливка моделей.

Изготовление воскового базиса.

Определение соотношения челюстей пациента, коррекция протеза в артикуляторе.

Изготовление окончательной модели после удачной примерки восковой.

Коррекция и обработка готового протеза.

Установка полного съемного протеза.

Изготовление съемных протезов при полном отсутствии зубов обычно не сопровождается большими ошибками со стороны врачей, однако если на этапе примерки конструкция доставляет вам сильный дискомфорт или причиняет боль, немедленно сообщите об этом.

Сколько стоит полный съемный протез?

Цены на съемные протезы при полном отсутствии зубов считаются довольно привлекательными, поэтому протезирование полными съемными протезами пользуется спросом. При этом не следует забывать, что такие конструкции только отчасти восстанавливают функциональность и эстетику, да и служат относительно недолго (в среднем — до 5 лет).

Мы используем cookie-файлы для наилучшего представления нашего сайта. Продолжая использовать этот сайт, вы соглашаетесь с использованием cookie-файлов.
Принять