Протезирование передних зубов

Для восстановления зубного ряда и устранения проблем в зубочелюстной системе современная стоматология предлагает несколько методов протезирования. Как правило, протезирование передних зубов может быть съемным и несъемным. Определить оптимальный вариант исправления аномалии в ротовой полости может только опытный специалист.


Методы реставрации зубочелюстной системы

Протезирование передних зубов Москве. Виды протезирования, этапы лечения, примеры и отзывы. Рассрочка и скидки. Стоматология Smile-City Войковская, Коптево, Петровско-разумовская, Лихоборы, октябрьское поле.Протезирование передних зубов Москве. Виды протезирования, этапы лечения, примеры и отзывы. Рассрочка и скидки. Стоматология Smile-City Войковская, Коптево, Петровско-разумовская, Лихоборы, октябрьское поле.Протезирование передних зубов Москве. Виды протезирования, этапы лечения, примеры и отзывы. Рассрочка и скидки. Стоматология Smile-City Войковская, Коптево, Петровско-разумовская, Лихоборы, октябрьское поле.

.

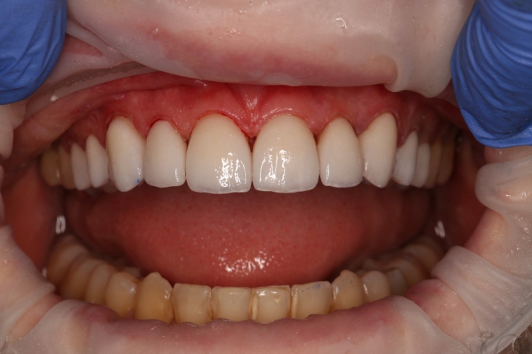
До/после. Коронки  Е. max. Работа врача стоматолога-ортопеда Станьковой К.А

С эстетической и практической точки зрения наиболее приемлемым и эффективным является несъемное протезирование зубов, которое предполагает установку коронок и виниров из различных современных материалов, а также имплантацию.В отдельных случаях высокий эффект достигается шинированием передних зубов. В этом случае конструкция предусматривает скрепление передних зубов специальным материалом, которым наполняется искусственно создаваемая полость.

Если не представляется возможности для установки имплантатов, восстановление зубного ряда осуществляется при помощи адгезивно-мостовидного протеза.
Современное протезирование в стоматологии «СМАЙЛ СИТИ» на войковской — безопасно и надежно

При наличии сложной аномалии в ротовой полости необходимо полное протезирование зубов. Эта комплексная программа применяется в следующих случаях:

  • У пациента отсутствуют зубы в ряду или во всей челюсти;
  • Имеются противопоказания для имплантации с применением традиционных методов;
  • Атрофия костной ткани;
  • Восстановление зубов необходимо произвести за короткое время.

При полном протезировании зубов с использованием новейших базальных имплантатов возможно восстановить добиться равномерного распределения нагрузки в ротовой полости. Отличаясь относительно невысокой стоимостью, эта программа хорошо зарекомендовала себя среди пациентов.Пациенту необходимо пройти процедуру профессиональной чистки, а также лечения кариеса и заболеваний десен. При необходимости потребуется удаление зубов, не подлежащих восстановлению;Чтобы процесс восстановления зубного ряда оказался результативным и безопасным, комплексная дентальная программа требует тщательной подготовки. Существует ряд требований, необходимых для реализации новейших технологий лечения и протезирования:

  • Компьютерная диагностика и панорамный снимок определят место для вживления имплантатов.

Передние зубы – как визитная карточка

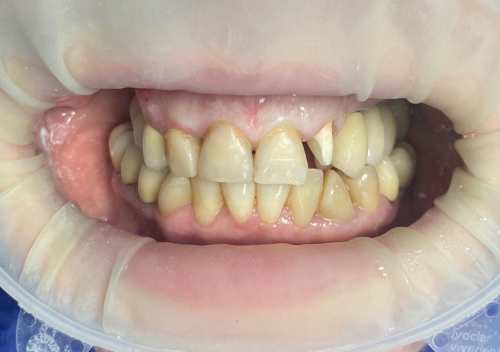
Протезирование переднего зуба требует особого подхода, к тому же оно проводится, как правило, в сжатые сроки. В распоряжении современной стоматологии имеются эффективные методики для реставрации разрушенного зуба или его полного восстановления.

Наличие проверенных способов и передовых технологий, использование высококачественных материалов с уникальными свойствами и многолетний опыт врачей стоматологического центра «СМАЙЛ СИТИ» в Коптево, Петровско-разумовская, Лихоборы, октябрьское поле, в протезировании передних зубов могут гарантировать сегодня любому пациенту возможность избавиться от самых сложных проблем в зубочелюстной системе и восстановить открытую ясную улыбку.

 

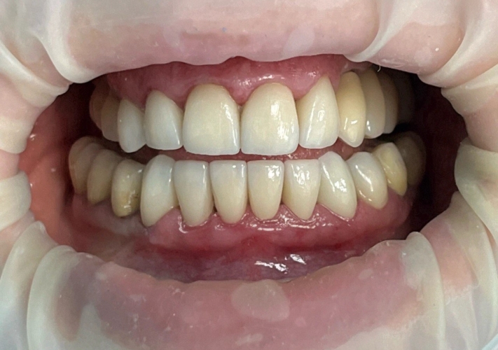
Протезирование передних Зубов/ коронки E.max. Работа Каграманова А.С.

Мы используем cookie-файлы для наилучшего представления нашего сайта. Продолжая использовать этот сайт, вы соглашаетесь с использованием cookie-файлов.
Принять